Masz pecha i zalałeś laptopa, niestety nie da się go reanimować i musisz kupić nowy. Na taki nagły wydatek nie jesteś przygotowany, a laptop jest Ci potrzebny do pracy. Do wyboru masz zakup sprzętu w markecie lub sklepie sieciowym za ponad 2500…
Masz pecha i zalałeś laptopa, niestety nie da się go reanimować i musisz kupić nowy. Na taki nagły wydatek nie jesteś przygotowany, a laptop jest Ci potrzebny do pracy. Do wyboru masz zakup sprzętu w markecie lub sklepie sieciowym za ponad 2500…
Należy mieć świadomość, że wizyta w klinice dentystycznej nie musi koniecznie kojarzyć się tylko i wyłącznie z bólem, stresem czy traumą. Warto bowiem wiedzieć, że bardzo dynamiczny rozwój omawianej dziedziny medycyny sprawił, iż zabiegi mogą być bezstresowe i bezbolesne. Czym powinna zatem…
Jeśli chce się uzyskać dostęp do kompleksowego leczenia stomatologicznego warto decydować się na korzystanie z usług kliniki dentystycznej. W takich placówkach można uzyskać dostęp specjalistów z wielu dziedzin dentystycznych, którzy przyjmują pacjentów w jednym miejscu. Odpowiednia klinika dentystyczna Toruń powinna spełniać konkretne…
YouTube to powszechnie uwielbiana baza muzyki i filmów. Na platformie znajduje się ogromny wybór utworów muzycznych, filmów krótko- i długometrażowych, materiałów kręconych przez youtuberów, spotów, video popularnonaukowych. Co wolno z nich korzystać w trybie offline, pobierając je na swój dysk? W jakich…
Chcąc zagwarantować sobie usługi dentystyczne na najwyższym poziomie, warto sprawdzić ofertę najlepszych klinik. Tylko one wykorzystują zaawansowany sprzęt oraz dbają o to, by zatrudnieni w nich lekarze mogli wykazać się nieprzeciętnymi umiejętnościami i rozległą wiedzą.
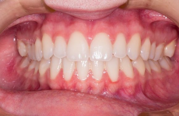
Nikomu nie trzeba mówić o tym, jak ważne jest dbanie o zdrowie i higienę swoich zębów. Lekceważenie tych kwestii prowadzi zawsze do bardzo poważnych problemów. Z jednej strony wpływa to katastrofalnie na nasz wizerunek. Osoby z zaniedbanymi zębami nie prezentują się zbyt…
Pięknie i stylowo urządzony dom to marzenie wielu osób. Dziś nie wystarczy umieścić w nim mebli, aby prezentował się on wyjątkowo. Warto także wzbogacić wygląd mieszkania o panele sufitowe czy kasetony ścienne.
Zdrowe i proste zęby w jednolitym, śnieżnobiałym odcieniu to marzenie wielu pacjentów. Tymczasem dość powszechnym i bardzo uciążliwym zjawiskiem bywają pojawiające się przebarwienia. Skąd się biorą? Jak się ich pozbyć?
Zdrowie zębów w dużej mierze zależne jest od higieny jamy ustnej. W tym celu niezbędną kwestię stanowi zakup odpowiednio dobranych kosmetyków i akcesoriów do mycia uzębienia. Na jaką szczotkę i pastę się zdecydować? Jakie inne produkty warto stosować każdego dnia?
Dzisiaj każda klinika dentystyczna Szczecin ma tak naprawdę coraz ciekawszą ofertę. Często możliwe jest tam umówienie się do specjalistów, o których większość osób nawet nigdy nie słyszała. Warto jednak wiedzieć, co to są za dentyści Szczecin, ponieważ, często mogą nam oni naprawdę…
